泌尿时讯 发表时间:2026/4/10 18:42:45

编者按
晚期肾癌靶向治疗与免疫治疗的进展改善了晚期肾癌患者的生存预后,但对于一线酪氨酸激酶抑制剂(TKI)治疗失败的患者,二线采用靶向联合免疫治疗的方案既往缺乏高级别循证医学证据。2025年欧洲肿瘤内科学会(ESMO)年会报道的III期FRUSICA-2研究结果展现了呋喹替尼联合信迪利单抗在晚期肾癌二线治疗的疗效和安全性方面的潜力。本期将分享一例来自FRUSICA-2研究的晚期肾透明细胞癌病例,该患者一线TKI治疗后疾病进展,二线接受呋喹替尼联合信迪利单抗治疗,首次疗效评估即达到疾病缓解,截至报道前最近一次(2026年4月)随访,部分缓解(PR)已持续超过37个月,且治疗期间患者耐受性良好,未见严重不良事件以及免疫相关不良事件,为该治疗策略的临床应用提供了有价值的实践参考。
(提示注意:以下病例简评仅系相关主治医生在执业过程中的病情回顾与评述,供医生读者科学交流和参考。个体病例通常具有差异性,具体治疗方案及用药应当结合个体情况作出,并严格遵循医嘱。)
患者男,68岁。
左肾透明细胞癌术后18个月,因“左腰痛”就诊发现转移,一线靶向治疗后进展。
2020年9月:因“体检发现左肾占位2年”外院就诊,全身评估提示双肺微小结节,未见明确转移。行腹腔镜下左肾根治性切除术,术后病理提示为肾透明细胞癌,Fuhrman分级I-II级,肿瘤侵犯肾窦脂肪,综合诊断为pT3aN0M0。当时无明确临床研究证据支持术后辅助帕博利珠单抗治疗,故术后未行辅助治疗,未规律复查。
2022年3月:患者因“左腰痛”复查。胸部CT提示双肺微小结节,较前未见明显变化;腹盆MR示:左侧腹膜后多发结节及肿块影,较大者约5.7cm*5.1cm;考虑患者诊断为转移性肾透明细胞癌,IV期,IMDC评分0分,低危组。予培唑帕尼一线治疗8个月,最佳疗效SD。
2022年11月:MR示左侧腹膜后多发结节及肿块影,较前略增大,6.1*5.5cm,另可见邻近左侧后腹膜多发DWI异常信号结节,较前新发,较大者2.4*2.1cm,考虑疾病进展(PD)。
既往糖尿病史、双足双手散发湿疹病史,控制好。
肾透明细胞癌腹膜转移(IV期),IMDC评分0分,低危组。
患者在一线培唑帕尼治疗8个月后进展,治疗期间出现2-3级腹泻、1-2级手足皮肤反应、2级高血压。患者于2023年1月29日入组“评价呋喹替尼联合信迪利单抗对比阿昔替尼或依维莫司单药二线治疗局部晚期或转移性肾细胞癌的疗效和安全性的多中心、随机、开放、阳性对照的II/Ⅲ期临床研究(FRUSICA-2研究)”。
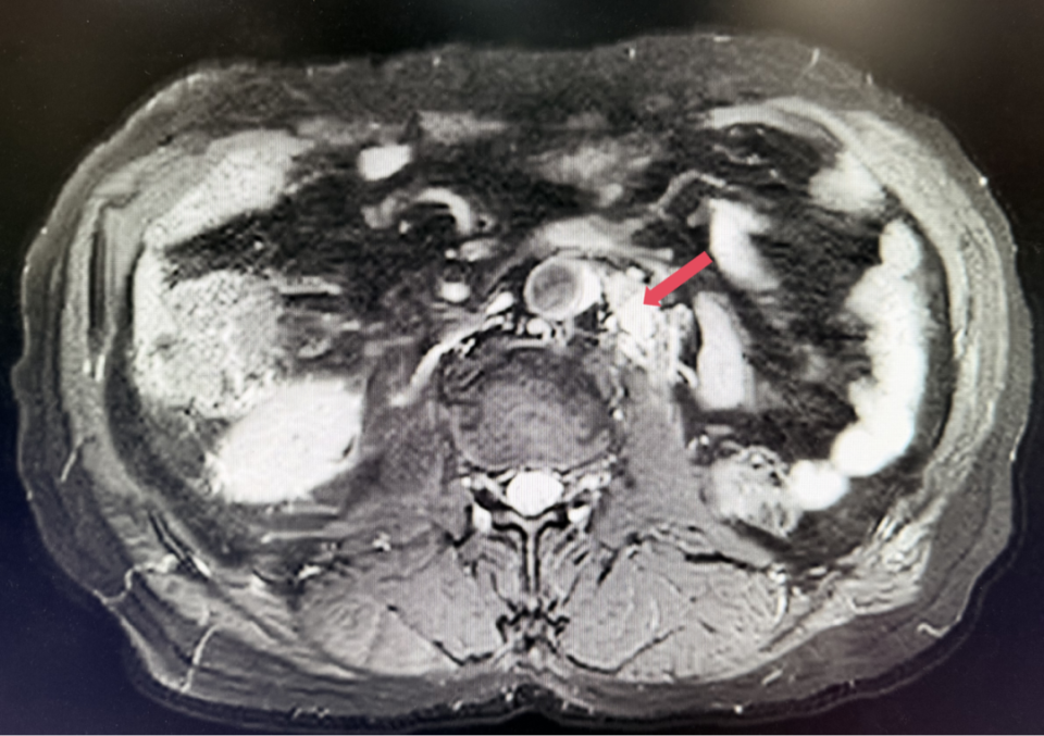
2023年1月开始使用呋喹替尼联合信迪利单抗方案,具体方案为:呋喹替尼5mg,po,qd,D1-14+信迪利单抗200mg,ivgtt,D1,q3w。患者基线肿瘤负荷为128.5mm。
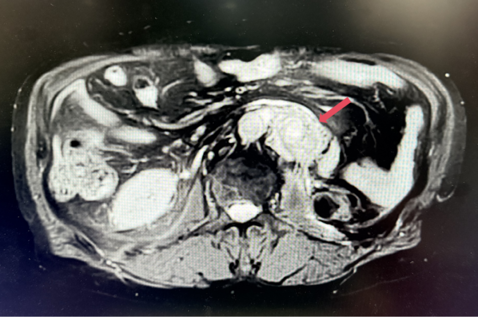
2023年3月:用药6周(C2)后首次肿评,肿瘤负荷减少至76.8mm,达到PR。
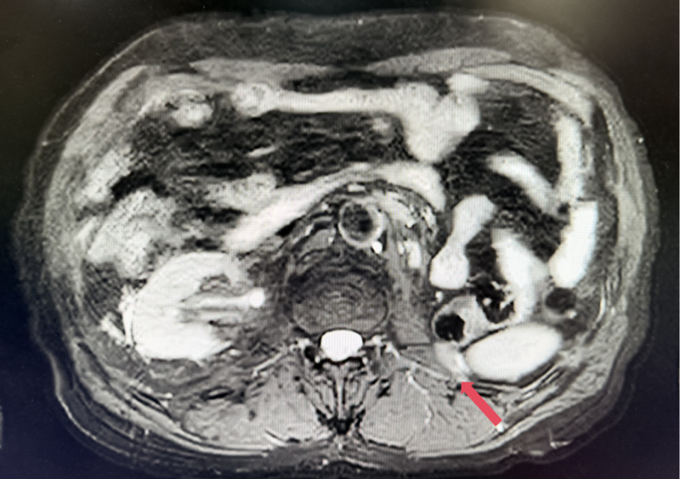
2023年11月:治疗10个月(C15)评估,肿瘤负荷减少至41mm,维持PR。
2025年1月:序贯为呋喹替尼单药(5mg,po,qd,D1-14,q3w)治疗。
2026年4月:持续维持PR,PFS超过37个月。
用药期间耐受良好,尿蛋白1+(尿蛋白定量0.08~0.15g/24h),偶有腹泻,血糖控制稳定,未见免疫相关不良事件。
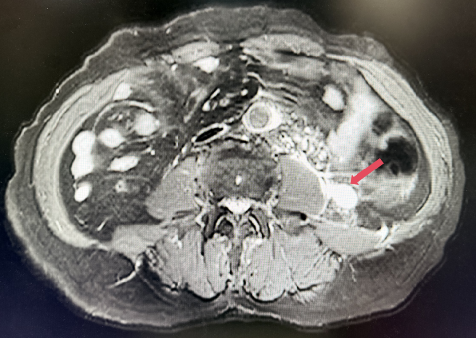
2023年1月,基线
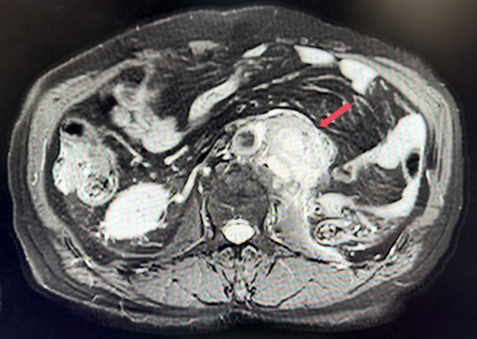
2023年3月,初始应答
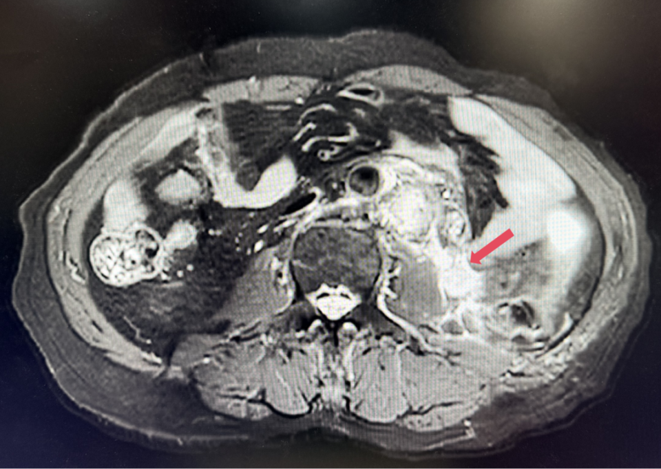
2023年11月,最深应答
患者初诊时68岁,2020年9月因“体检发现左肾占位2年”行腹腔镜下左肾根治性切除术,术后病理提示为肾透明细胞癌,pT3aN0M0,未行术后辅助治疗、未规律复查。2022年3月胸腹盆CT示腹膜后转移,IMDC评分0分,低危组。随后予一线培唑帕尼治疗,最佳疗效SD,2022年11月PD。于2023年1月经筛选进入Ⅲ期FRUSICA-2临床研究,开始接受呋喹替尼联合信迪利单抗二线治疗,用药6周(C2)后首次肿评即实现疗效PR(缩瘤率40.2%),用药10个月时缩瘤率近七成(68%),并维持上述水平至今,PFS已经超过37个月,在二线治疗中实现了长期无进展生存。同时,患者对呋喹替尼联合信迪利单抗方案耐受性良好,仅见轻微蛋白尿和偶然腹泻,未见其他不良反应,也未见免疫治疗相关不良反应。该方案有望为TKI经治的晚期肾癌患者带来新的选择,为实现长期生存提供可能性。
病例提供者,北京大学第一医院 泌尿外科 杨恺惟

纵览转移性肾透明细胞癌的治疗格局,一线治疗需根据IMDC或MSKCC预后模型评估的风险度分层决定治疗方案。针对低危人群,《中国临床肿瘤学会(CSCO)肾癌诊疗指南2025》[1]推荐舒尼替尼、培唑帕尼等单药治疗,针对中高危人群则推荐阿昔替尼联合特瑞普利单抗等联合治疗方案。该患者一线治疗时IMDC评分0分,为低危转移性肾透明细胞癌,故一线采用培唑帕尼治疗,但患者于8个月后再次疾病进展。
FRUSICA-2研究PFS
本例患者在一线培唑帕尼治疗进展后,参与到FRUSICA-2研究中,接受了呋喹替尼联合信迪利单抗二线治疗,在治疗6周后即达到了迅速缓解,取得超过37个月PFS,目前仍维持PR,帮助患者延长生存时间。回顾FRUSICA-2研究可见,呋喹替尼联合信迪利单抗的中位至缓解时间(TTR)为2.79个月,中位缓解持续时间(DoR)为23.69个月,进一步提示了该方案在缓解速度和长期维持缓解方面的表现。与此同时,患者治疗过程中不良反应轻微,耐受性佳,有助于患者回归正常生活。呋喹替尼联合信迪利单抗有望成为肾细胞癌二线治疗中的可考虑的一种治疗方案。
在机制层面,呋喹替尼作为一种高选择性小分子VEGFR-TKI,可精准抑制 VEGFR-1/2/3受体的胞内激酶区磷酸化,同时抑制肿瘤血管和淋巴管生成;与免疫治疗具有协同作用,该机制在临床研究中得到了验证。在FRUSICA-2研究等循证医学证据的推动下,期待呋喹替尼联合免疫治疗二线应用于晚期肾癌的适应症,未来能成为既往TKI治疗失败患者二线的一项标准治疗方案,以望惠及更多患者。
参考文献
[1] 中国临床肿瘤学会指南工作委员会. 中国临床肿瘤学会(CSCO)肾癌诊疗指南2025. 人民卫生出版社. 2025.08.
[2] Motzer RJ, Escudier B, Tomczak P, et al. Axitinib versus sorafenib as second-line treatment for advanced renal cell carcinoma: overall survival analysis and updated results from a randomised phase 3 trial. Lancet Oncol. 2013;14(6):552-562. doi:10.1016/S1470-2045(13)70093-7
[3] Choueiri TK, Escudier B, Powles T, et al. Cabozantinib versus everolimus in advanced renal cell carcinoma (METEOR): final results from a randomised, open-label, phase 3 trial. Lancet Oncol. 2016;17(7):917-927. doi:10.1016/S1470-2045(16)30107-3
[4] Sheng X, Ye D, Zhou A, et al. Efficacy and safety of vorolanib plus everolimus in metastatic renal cell carcinoma: A three-arm, randomised, double-blind, multicentre phase III study (CONCEPT). Eur J Cancer. 2023;178:205-215. doi:10.1016/j.ejca.2022.10.025
[5] Dingwei Ye, et al. Fruquintinib (FRUQ) plus sintilimab (SIN) versus axitinib (AXI) or everolimus (EVE) monotherapy as 2L treatment in pts with locally advanced or metastatic renal cell carcinoma (RCC): Results from phase III part of a randomized, open-label, active-controlled phase II/III study (FRUSICA-2). ESMO 2025,2592MO
何志嵩 教授
北京大学第一医院
主任医师 ,博士生导师
北京大学泌尿外科研究所/北京大学第一医院泌尿外科
中国临床肿瘤学会理事会理事
中华医学会泌尿外科分会肿瘤学组委员
中国临床肿瘤学会尿路上皮癌专业委员会主任委员
中国临床肿瘤学会前列腺癌专业委员会副主任委员
中国临床肿瘤学会肾癌专业委员会委员
中国抗癌协会泌尿男生殖系肿瘤专业委员会委员
中国抗癌协会家族遗传性肿瘤协作组委员
北京医学会泌尿外科分会委员
中国医疗保健国际交流促进会加速康复外科分会委员
中国老年保健协会抗衰老专业委员会委员
郭应禄泌尿外科发展基金会理事长等
杨恺惟 教授
副主任医师
临床医学博士
北京大学第一医院泌尿外科
美国杜克大学免疫学系访问学者
承担二十余项多中心临床注册研究Sub-I
主持北京市自然科学基金一项
发表SCI十余篇,在EAU、ASCO-GU会议进行壁报展示
材料编号:NP-ELU-26N215-Valid Until-2028-April
本资料由和黄医药提供支持
本资料旨在促进医药信息的沟通和交流,而非广告宣传。本资料内容不能以任何方式取代专业的医疗指导,也不应被视为诊疗建议。若您想了解更多有关疾病知识的信息,请咨询医疗卫生专业人士。
(来源:《肿瘤瞭望-泌尿时讯》编辑部)
声 明
凡署名原创的文章版权属《肿瘤瞭望-泌尿时讯》所有,欢迎分享、转载(开白可后台留言)。本文仅供医疗卫生专业人士了解最新医药资讯参考使用,不代表本平台观点。该等信息不能以任何方式取代专业的医疗指导,也不应被视为诊疗建议,如果该信息被用于资讯以外的目的,本站及作者不承担相关责任。
温馨提示
添加小助手请备注“泌尿”